セラミック審美治療症例|銀座ONE歯科・矯正歯科|銀座一丁目、有楽町、銀座駅から徒歩圏内
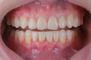
全顎セラミック審美治療
- 治療名
- ジルコニアクラウン他院修正
- 患者様
- 60代女性
- 執刀医
- Dr.黄
- 主訴
- 他院で行った前歯の被せ物が不適合で見た目にも違和感があり、色や形を自然で美しく整えたいとのご希望でご来院。
- 治療内容
- 既存の被せ物の不適合を改善するため、ジルコニアセラミッククラウンおよびラミネートベニアによる審美修復を行いました。
シェードガイドや口元写真をもとに、有名技工士と綿密に連携し、患者様の理想とする自然で美しい色調・形態を再現しています。
最小限の切削に留めつつ、仮歯の段階で細かな調整を重ね、周囲の歯や唇との調和がとれた仕上がりを実現しました。
- 治療期間
- 2ヶ月
- 費用
- ¥2,376,000
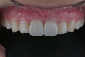
接着ブリッジ審美治療
- 治療名
- 接着ブリッジ・審美レジン修復
- 患者様
- 20代 女性
- 執刀医
- Dr.黄
- 主訴
- 先天的に歯が欠損しており、矯正治療後も前歯部の空隙とブラックトライアングルが気になるため、審美的な改善を希望され来院。
- 治療内容
- 矯正治療後の歯列および欠損部の状態を口腔内スキャンと写真で詳細に評価。
歯を大きく削らずに欠損部を補う方法として、接着ブリッジによる修復をご提案しました。
また、歯間のブラックトライアングルに対しては、審美レジン修復を併用することで、自然な歯の形態とバランスの回復を目指しました。
歯の表面を最小限に調整し、エナメル質を可能な限り保存。
接着ブリッジにより欠損部の空隙を改善。
さらに、審美レジン修復を行い、ブラックトライアングルを改善し、調和の取れた前歯の形態に仕上げました。
- 治療期間
- 3回
- 費用
- ¥586,000
セラミック・べニア複合治療
- 治療名
- ジルコニアセラミッククラウン・ラミネートベニア
- 患者様
- 20代女性
- 執刀医
- Dr.黄
- 主訴
- 他院で治療した前歯の見た目に違和感があり、色や形を自然に美しく整えたいとのご希望でご来院。
- 治療内容
- 既存の被せ物の不調和を修正するため、ジルコニアセラミッククラウンおよびラミネートベニアによる審美修復を行いました。シェードガイドや口元写真をもとに、有名技工士と密に連携し、色調・形態ともに患者様のご希望に沿った自然で美しい仕上がりを実現しました。最小限の切削と仮歯の段階での微調整を重ね、口元全体の調和を図っています。
- 治療期間
- 2回
- 費用
- ¥990,000
色・形態改善セラミック・べニア複合治療
- 治療名
- ジルコニアセラミッククラウン・ラミネートベニア
- 患者様
- 20代男性
- 執刀医
- Dr.黄
- 主訴
- 他院にて行われた前歯部レジン修復の経年変色に対し、審美的改善をご希望され来院されました。
- 治療内容
- 11(神経治療済み歯) ジルコニアクラウン 強度を最優先に設計 破折リスクを抑え、長期安定を目指します
21(生活歯) 最小限形成ジルコニアベニア 歯をできるだけ削らない治療 神経を残しながら自然な仕上がりへ
- 治療期間
- 2回
- 費用
- ¥398,000
セラミック・べニア複合治療
- 治療名
- ジルコニアセラミッククラウン・ラミネートベニア
- 患者様
- 30代男性
- 執刀医
- Dr.黄
- 主訴
- 他院で治療した前歯の見た目に違和感があり、色や形を自然に美しく整えたいとのご希望でご来院。
- 治療内容
- 既存の被せ物の不調和を修正するため、ジルコニアセラミッククラウンおよびラミネートベニアによる審美修復を行いました。シェードガイドや口元写真をもとに、有名技工士と密に連携し、色調・形態ともに患者様のご希望に沿った自然で美しい仕上がりを実現しました。最小限の切削と仮歯の段階での微調整を重ね、口元全体の調和を図っています。
- 治療期間
- 2回
- 費用
- ¥649,000
セラミック審美治療
- 治療名
- ジルコニアセラミッククラウン
- 患者様
- 20代女性
- 執刀医
- Dr.黄
- 主訴
- 前歯の痛みおよび動揺、ならびに前歯部の審美的改善を希望され来院。
- 治療内容
-
初診時、上顎前歯(11部位)に疼痛および動揺を認め、あわせて前歯部の外観に対するお悩みがありました。
精密検査の結果、根尖部に炎症所見を認めたため、まずは歯の保存を最優先とし、歯科用顕微鏡下にて精密根管治療を行う方針としました。
根管治療終了後、歯周組織および動揺の状態を評価したうえで、
上顎中切歯2歯(11・21)に連結冠(連結クラウン)を装着し、以下の点を同時に改善しました。
-
前歯部の動揺の安定化
-
咬合力の分散による長期的な歯の保存
-
前歯部の形態・色調を整えた審美的改善
補綴設計においては、周囲歯との調和を重視し、自然感を損なわないよう慎重にデザインを行っています。
- 治療期間
- 5回
- 費用
- ¥396,000