ホワイトニング症例|銀座ONE歯科・矯正歯科|銀座一丁目、有楽町、銀座駅から徒歩圏内
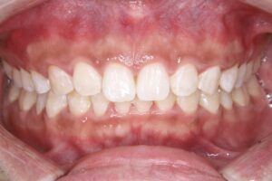
ホワイトニング治療1
- 治療名
- オフィスホワイトニング処置
- 患者様
- 30代 男性(院長本人)
- 担当スタッフ
- Dh.浦
- 主訴
- 前歯の黄ばみが気になる、できるだけ短期間で効果を実感したい
- 治療内容
- カウンセリングで現在の歯の色を確認後、歯面クリーニングを行い、歯肉を保護したうえで日本国産 GC社 TiON を歯に塗布し、専用ライトで薬剤を活性化させた後、薬剤を除去して白さを確認します。
- 治療期間
- 約2時間
- 費用
- ¥33,000
エアフロー治療1
- 治療名
- エアフロー処置
- 患者様
- 50代 男性
- 担当スタッフ
- Dh.浦
- 主訴
- 歯の着色汚れ(ステイン)が気になるため、クリーニングを希望して来院。
- 治療内容
- 口腔内診査の結果、歯面および歯間部に着色汚れと軽度のプラーク付着を認めたため、エアフロー(パウダークリーニング)による歯面清掃を実施。
- 治療期間
- 約1時間
- 費用
- ¥11,000
ホワイトニング治療2
- 治療名
- オフィスホワイトニング処置
- 患者様
- 30代 女性
- 担当スタッフ
- Dh.浦
- 主訴
- 歯の色調は比較的白いが、より透明感のある印象にしたいとの要望あり。
- 治療内容
- 口腔内診査およびカウンセリングを行い、歯および歯肉の状態に問題がないことを確認した上で、オフィスホワイトニングを実施。日本国産 GC社 TiONホワイトニング剤を使用し、歯の色調を全体的にトーンアップ。
- 治療期間
- 約2時間
- 費用
- ¥33,000
エアフロー治療2
- 治療名
- エアフロー処置
- 患者様
- 50代 男性
- 担当スタッフ
- Dh.浦
- 主訴
- 外科処置前の口腔内清掃を目的として来院。歯面の着色汚れが強く、清掃を希望。
- 治療内容
- 外科手術前の口腔内環境改善を目的に、エアフロー(パウダークリーニング)による歯面清掃を実施。歯面全体および歯肉縁周囲に強い着色汚れ(ステイン)とバイオフィルムの付着を認めたため、エアフローを用いて効率的に除去した。
- 治療期間
- 約1時間
- 費用
- ¥11,000