削らないブリッジ|銀座ONE歯科・矯正歯科|銀座一丁目、有楽町、銀座駅から徒歩圏内
できるだけ歯を削らず、手術なしで欠損を補う選択肢

銀座ONE歯科・矯正歯科では、歯をほとんど削らずに欠損部を補う**「接着ブリッジ」(ダイレクトブリッジ/MIブリッジ)をご提案しています。外科手術を伴うインプラントや、取り外し式の入れ歯に抵抗がある方のミニマルインターベンション(MI)**治療として注目されています。
削らないブリッジとは
両隣の歯の裏側に小さな「ウィング(羽)」を接着し、そのウィングで人工歯(ポンティック)を固定する方法です。従来のブリッジのように大きく削って被せる必要がありません。
特長
- 歯の切削量が最小限(多くの症例でエナメル質の範囲内、症例によって削らないケースもある)
- 麻酔や外科手術が不要なことが多い
- 見た目が自然で、取り外し不要の固定式
- 最短1週間ほど2回で完了
- 将来の選択肢(インプラント等)を温存
留意点
- 強い咬合力・噛み合わせの干渉で**脱離(外れる)**ことがあります
- 欠損が2本以上、奥歯の広いスペースでは適応が限られます
- 定期メンテナンスと噛み合わせ管理が重要です
治療の流れ
1
カウンセリング・診査:(一回目)
口腔内写真、咬合・隣接歯の状態、X線・必要に応じCBCT
2
プランニング:設計(片側/両側ウィング、材質)、色調・形態の確認(一回目)
3
前処置:クリーニング、必要に応じ最小限のエナメル質処理(二回目)
4
装着(二回目)
- ラボタイプ:型取り→技工製作→接着(仮着〜本接着)
- ダイレクトタイプ:口腔内で複合材料を築盛し即日固定
5
咬合調整・研磨:噛み合わせと舌感の最終調整(二回目)
6
メンテナンス:定期検診、接着部のチェック、ナイトガードのご提案(必要時)
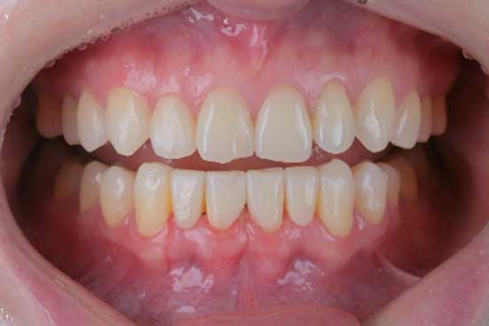
前歯の接着ブリッジ
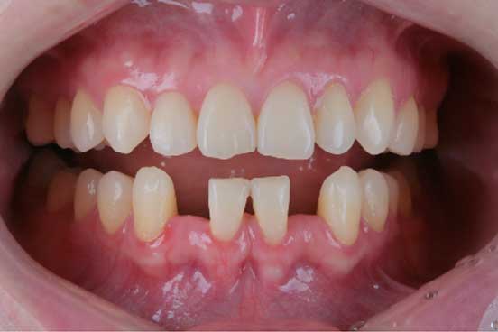
症例①
- 治療名
- 接着ブリッジ・審美レジン修復
- 患者様
- 20代 女性
- 執刀医
- Dr.黄
- 主訴
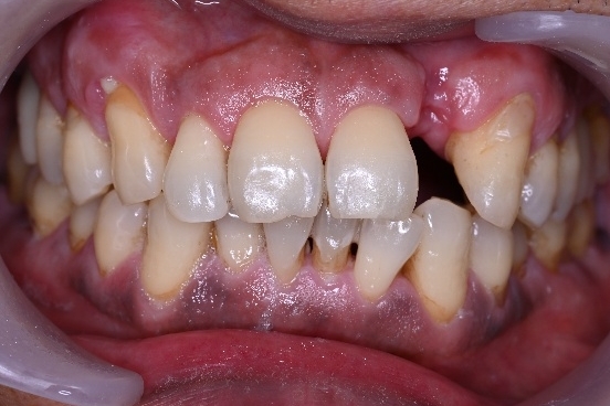
- 先天的に歯が欠損しており、矯正治療後も前歯部の空隙とブラックトライアングルが気になるため、審美的な改善を希望され来院。
- 治療内容
-
カウンセリング・治療計画
矯正治療後の歯列および欠損部の状態を口腔内スキャンと写真で詳細に評価。
歯を大きく削らずに欠損部を補う方法として、接着ブリッジによる修復をご提案しました。
また、歯間のブラックトライアングルに対しては、審美レジン修復を併用することで、自然な歯の形態とバランスの回復を目指しました。
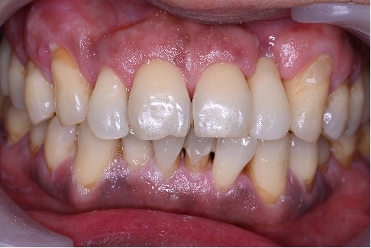
治療内容
歯の表面を最小限に調整し、エナメル質を可能な限り保存。
接着ブリッジにより欠損部の空隙を改善。
さらに、審美レジン修復を行い、ブラックトライアングルを改善し、調和の取れた前歯の形態に仕上げました。
- 治療期間
- 3回
- 費用
- ¥586,000
症例②
- 治療名
- ジルコニア接着ブリッジ
- 患者様
- 60代 男性
- 執刀医
- Dr.黄
- 主訴
- 前歯を失ってしまい歯を入れたいが、高血圧がありインプラント手術は難しい。できれば見た目も自然にしたい。
- 治療経過
- 初診時に口腔内を確認したところ、隣の歯は健全で噛み合わせにも大きな問題はありませんでした。
既往歴として高血圧があり、外科的処置であるインプラント治療はリスクが高いと判断しました。
また、取り外し式の入れ歯は見た目や使用感の面から患者様が希望されませんでした。そのため、歯をほとんど削らずに済む接着ブリッジを提案し、模型診断と設計を行った上でウィングタイプの接着ブリッジを製作・装着しました。
装着後は噛み合わせを微調整し、自然な見た目を回復。現在は定期的にメンテナンスを行い、接着状態と歯肉の健康を確認しています。
- 治療期間
- 約3週間
症例③
- 治療名
- ジルコニア接着ブリッジ
- 患者様
- 50代 女性
- 執刀医
- Dr.黄
- 主訴
- 前歯が歯周病で抜けてしまい、歯を入れたい。骨が少ないためインプラント治療は難しく、外科手術以外の方法を希望された。
- 治療経過
- 初診時の診査で、抜歯後の骨量が不足しておりインプラント治療は適応が難しいと判断しました。
患者様は外科的処置を伴わない方法を強く希望されており、入れ歯については見た目や使用感の点で抵抗がありました。
そのため、隣在歯を大きく削らずに済み、自然な仕上がりが期待できる接着ブリッジをご提案しました。
模型診断と設計を行い、前歯部に適したウィングタイプの接着ブリッジを製作・装着。装着後は噛み合わせを調整し、自然な前歯の見た目を回復しました。現在も定期的にメンテナンスを継続し、安定した状態を保っています。
- 治療期間
- 約3週間
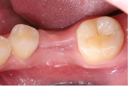
奥歯の接着ブリッジ
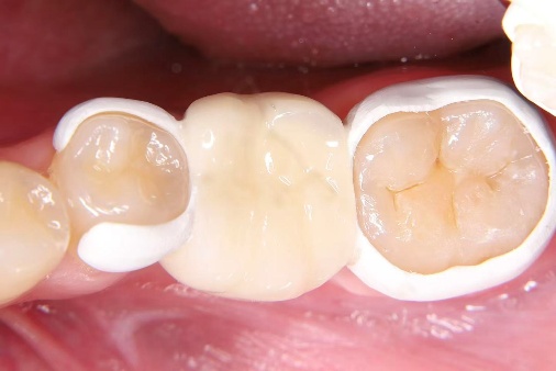
臼歯部接着ブリッジ
- 治療名
- HPP接着ブリッジ
- 患者様
- 30代 男性
- 執刀医
- Dr.黄
- 主訴
- 歯が割れて他院で抜歯になってしまった。できるだけ早く歯を入れたいが、入れ歯は使いたくない。
- 治療経過
- 患者様は「見た目の回復を早くしたい」と希望されました。インプラントは治癒期間を必要とし、また入れ歯は見た目や装着感から強く望まれませんでした。そのため、外科処置を伴わず短期間で歯を入れられる方法として接着ブリッジをご提案しました。口腔内を確認したところ隣在歯は健全であり、条件を満たしていたため、模型診断・設計のうえウィングタイプの接着ブリッジを製作・装着しました。装着後は自然な見た目と噛み合わせをすぐに回復でき、患者様も「短期間で歯を入れられて安心した」と満足されました。
- 治療期間
- 約3週間
適応条件
次のような場合に適応となります
- 欠損部の両隣の歯が健康な状態で残っている方に適しています
- ご自身の健康な歯をできるだけ守りたいとお考えの方へ
- 外科的なインプラント治療に不安を感じている方へ
- 入れ歯の見た目や使用感に抵抗のある方へ
Q&A
-
どれくらい持ちますか?
-
噛み合わせや清掃状態、設計により差があります。適切な適応とメンテナンスにより中長期の安定が期待できます。万一の脱離は再接着や補修で対応できる場合があります。
-
痛みはありますか?
-
多くの症例で麻酔不要、削合も最小限です。術後の違和感は数日〜1週間ほどで慣れることが一般的です。
-
前歯だけですか?
-
基本は前歯〜小臼歯が適応です。奥歯は噛合力が強く慎重な適応判定が必要です。
-
将来インプラントに変更できますか?
-
はい。接着ブリッジは歯質の温存に優れるため、将来の選択肢を狭めにくい治療です。
適応される条件
- 支えとなる両隣の歯が天然歯であること
- その両隣の歯が健康でしっかりしていること
- 強い噛む力がかかりにくい部位であること
治療選択について
歯を失った際には、インプラント・入れ歯・従来型のブリッジ・接着ブリッジといった複数の選択肢があります。それぞれにメリット・デメリット・リスクがあり、最終的な決定は
- 「患者様が何を最も重視するのか」
- 「お口の状態がどの方法に適しているか」
によって決まります。
接着ブリッジをおすすめできる方
- インプラントや入れ歯には抵抗がある方
- できる限り歯を削らずに治療したい方
こうしたご希望をお持ちの患者様にとって、接着ブリッジは有効な選択肢のひとつとなります。