削らないラミネートベニア
削らないラミネートベニア
銀座ONE式ラミネートベニアは、歯の表面に極薄のセラミックシェルを貼り付ける審美歯科治療で、
歯を削る量を最小限に抑えながら、美しく整った笑顔を実現します。

※イメージ図です

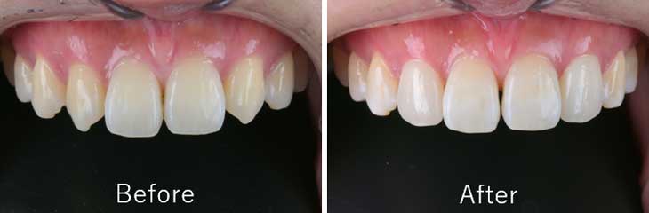
ラミネートベニアとは、歯の表面をわずかに削り、その上に歯の色に合わせた薄いセラミックシェルを貼り付ける審美治療です。
セラミックと聞くと、詰め物や被せ物を想像される方が多いかもしれません。しかし、被せ物の場合は歯を大きく削らなければならず、歯に負担がかかります。
一方、ラミネートベニアは、0.3~0.5mm程度のごく薄い層のみを削るだけで、歯の白さや形、大きさを自然に整えることができます。削る量が非常に少ないため、歯の神経にダメージを与えるリスクもほとんどありません。
この治療法の歴史は意外にも古く、1920年代に映画撮影のため、俳優の歯の見た目を一時的に整える目的で開発されたのが始まりとされています。
現在では、使用するセラミック素材の進化により、時間が経っても変色しにくく、強度も高いため、長く美しい状態を保つことが可能です。
従来のラミネートベニアに比べて、剥がれや破損のリスクも大幅に低減されており、安心してお受けいただける治療となっています。

GINZA ONE歯科では、マイクロスコープによる精密な視野で、機能と美しさが調和した口元をデザインします。
単に歯を白く整えるだけでなく、顔全体の輪郭、唇の形、隣り合う歯とのバランスまで細部にわたり分析。
デジタルデータと、経験豊富な歯科医師の美的センスを融合させ、理想的な形・色・透明感・光沢を追求します。
マイクロスコープを使用した繊細な処置により、歯の質感や境界線までも自然に再現。
まるで生まれ持った歯のように、調和の取れた美しい口元をオーダーメイドで実現します。
特にラミネートベニアの設計では、微細な部分に至るまで美しさを追求しています。


歯をほとんど削らずに装着するベニアです。
軽度の変色や形態の改善に適しており、歯への侵襲を最小限に抑えた審美治療が可能です。
歯の表面をわずかに整えて装着するベニアです。
軽度の歯並びや形態の修正、色調改善に適しており、自然で調和のとれた審美性を実現します。
歯の形や色を大きく改善したい場合に選択されるベニアです。
適切な形成を行うことで、審美性と耐久性のバランスの取れた治療が可能になります。






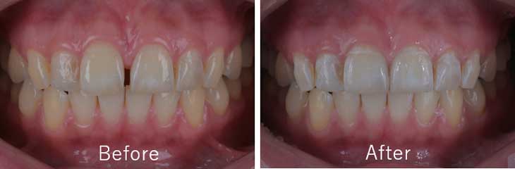
既存のレジン修復部は着色および経年劣化が認められたため、まずマイクロスコープを用いて旧レジンを慎重に除去。
歯質への侵襲を最小限に抑えながら形成を行い、審美性および長期安定性を考慮し、ジルコニウム製ラミネートベニアによる審美修復を行いました。
削る量は非常に少なく、麻酔が必要ないほどのケースも多いです。症例によってはまったく削らずに治療ができることもあります。神経から遠いため、痛みやしみるリスクも最小限です。
適切なセルフケアと歯科での定期メンテナンスを行えば、10年以上美しい状態を保つことが可能です。セラミックは変色しにくく、長期にわたって自然な白さを維持できます。
一度装着すると元の歯の状態には戻せない点、また強い衝撃や歯ぎしりによって割れる可能性がある点がデメリットです。ただし、噛み合わせの調整やナイトガードの使用によってリスクを軽減できます。
ラミネートベニアは審美目的の自由診療のため、健康保険の適用外です。治療前に費用・期間・リスクについて十分にご説明いたしますので、ご安心ください。
通常は2~3回のご来院で完了します。1回目でカウンセリング・歯の形成・型取りを行い、2回目で完成したベニアを装着します。症例によっては追加の来院が必要な場合もあります。
TOP