ラミネートべニア症例|銀座ONE歯科・矯正歯科|銀座一丁目、有楽町、銀座駅から徒歩圏内
歯列及び色調改善べニア`治療
- 治療名
- 上顎前歯部ラミネートべニア治療
- 患者様
- 30代 女性
- 執刀医
- Dr.黄
- 主訴
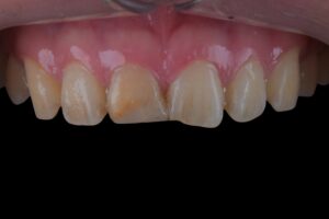
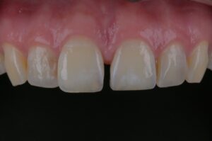
- 他院にて行われた前歯部レジン修復の経年変色に対し、審美的改善をご希望され来院されました。
- 治療内容
-
既存のレジン修復部は着色および経年劣化が認められたため、まずマイクロスコープを用いて旧レジンを慎重に除去。
歯質への侵襲を最小限に抑えながら形成を行い、審美性および長期安定性を考慮し、ジルコニウム製ラミネートベニアによる審美修復を行いました。
- 治療期間
- 約2週間
- 費用
- ¥約100万円
部分べニアにより前歯隙間の閉鎖
- 治療名
- 上顎前歯部ラミネートべニア治療
- 患者様
- 30代 女性
- 執刀医
- Dr.黄
- 主訴
- 前歯部の隙間による審美的なお悩みを主訴にご来院されました。
- 治療内容
-
前歯部に認められた空隙歯列に対し、歯の形態およびバランスを精密に評価した上で、部分ラミネートベニアによる審美修復を計画。
歯質への侵襲を最小限に抑えるため、必要最小限の形成を行い、マイクロスコープ下で精密に処置を実施し、歯質の切削をほとんど行わず、極薄のセラミックを用いて前歯部の隙間を自然に閉鎖しました。
- 治療期間
- 約2週間
- 費用
- ¥396,000円
前歯隙間の閉鎖
- 治療名
- 上顎前歯部ラミネートべニア治療
- 患者様
- 20代 女性
- 執刀医
- Dr.黄
- 主訴
- 前歯部の隙間による審美的なお悩みを主訴にご来院されました。
- 治療内容
-
前歯部に認められた空隙歯列に対し、歯の形態およびバランスを精密に評価した上で、ジルコニアラミネートベニアによる審美修復を計画。
歯質への侵襲を最小限に抑えるため、必要最小限の形成を行い、マイクロスコープ下で精密に処置を実施し、歯質の切削をほとんど行わず、極薄のセラミックを用いて前歯部の隙間を自然に閉鎖しました。
- 治療期間
- 約2週間
- 費用
- ¥396,000円
変色改善ラミネートベニア治療
- 治療名
- 上顎前歯部ラミネートべニア治療
- 患者様
- 30代 男性
- 執刀医
- Dr.黄
- 主訴
- 「前歯の白いまだら模様が昔からコンプレックスで、写真を撮るときも自然に笑えない」と訴えて来院されました。
- 治療内容
-
カウンセリング・治療計画
高解像度の口元写真と口腔内スキャンデータをもとに、シミュレーションを実施
歯をほとんど削らずに済む、ラミネートベニアによる改善をご提案
審美性と歯質保存性を両立するため、以下の方針で治療を行いました:
• 対象歯:上顎中切歯・側切歯・犬歯の計6本
• ラミネートベニアによる審美修復
• 自然な色調と優れた耐久性を兼ね備えたレイヤリングジルコニア素材を選定
• 患者様の希望に応じ、周囲の歯との調和を重視したカスタムシェードで製作
- 治療期間
- 約3週間
犬歯形態改善ラミネートベニア治療
- 治療名
- 上顎前歯部ラミネートべニア治療
- 患者様
- 20代 女性
- 執刀医
- Dr.黄
- 主訴
- 先天的に側切歯が欠如しており、矯正治療後、犬歯の形態に加えて前歯全体の大きさもバランスよく調整したいとのご希望がありました。
- 治療内容
-
高解像度の口元写真および口腔内スキャンデータをもとにシミュレーションを行い、最終的な歯の形態・バランスを事前に共有しました。
歯質の保存を最優先に考え、最小限の形態調整で審美性を改善できるラミネートベニア治療をご提案しました。
審美性と機能性の両立を目的に、以下の方針で治療を行いました。
-
両前歯の遠心部に形態調整を実施
-
両側犬歯は形態修正後、ラミネートベニアによる審美修復を実施
-
歯を削る量を最小限に抑えた低侵襲な治療設計
-
周囲歯とのバランスを考慮し、前歯部全体のサイズ感とプロポーションを調整
-
患者様のご希望を反映し、自然感を重視したカスタムシェードで製作
- 治療期間
- 約2週間
- 費用
- ¥396,000
形態・色改善セラミック・ベニア複合治療
- 治療名
- ジルコニアセラミッククラウン・ラミネートベニア
- 患者様
- 20代男性
- 執刀医
- Dr.黄
- 主訴
- 他院にて行われた前歯部レジン修復の経年変色に対し、審美的改善をご希望され来院されました。
- 治療内容
- 11(神経治療済み歯) ジルコニアクラウン 強度を最優先に設計 破折リスクを抑え、長期安定を目指します
21(生活歯) 最小限形成ジルコニアベニア 歯をできるだけ削らない治療 神経を残しながら自然な仕上がりへ
- 治療期間
- 2回
- 費用
- ¥398,000
セラミック・ベニア複合治療
- 治療名
- ジルコニアセラミッククラウン・ラミネートベニア
- 患者様
- 20代女性
- 執刀医
- Dr.黄
- 主訴
- 他院で治療した前歯の見た目に違和感があり、色や形を自然に美しく整えたいとのご希望でご来院。
- 治療内容
- 既存の被せ物の不調和を修正するため、ジルコニアセラミッククラウンおよびラミネートベニアによる審美修復を行いました。シェードガイドや口元写真をもとに、有名技工士と密に連携し、色調・形態ともに患者様のご希望に沿った自然で美しい仕上がりを実現しました。最小限の切削と仮歯の段階での微調整を重ね、口元全体の調和を図っています。
- 治療期間
- 2回
- 費用
- ¥990,000
空隙改善ラミネートベニア治療
- 治療名
- 上顎前歯部ラミネートべニア治療
- 患者様
- 20代 女性
- 執刀医
- Dr.黄
- 主訴
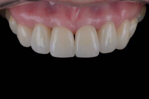
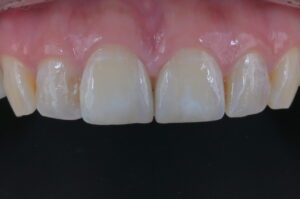
- 昔から前歯の変色とすき間が気になっており、自然で美しい口元に改善したいとのご希望でした。
- 治療内容
-
カウンセリング・治療計画
高解像度の口元写真と口腔内スキャンデータをもとにシミュレーションを行い、歯をほとんど削らずに済む「ラミネートベニア」による改善をご提案しました。
審美性と歯質保存性の両立を重視し、以下の方針で治療を進めました。
- 治療期間
- 約3週間
- 費用
- ¥1,144,000
他院修正ラミネートベニア治療
- 治療名
- ラミネートベニア
- 患者様
- 20代女性
- 執刀医
- Dr.黄
- 主訴
- 他院で装着した上顎前歯のラミネートベニアが脱離したため、修復希望で来院。
- 治療内容
- ■ カウンセリング・治療計画
- 高解像度の口元写真と口腔内スキャンデータをもとに、シミュレーションを実施
- 歯をほとんど削らずに済む、ラミネートベニアによる改善をご提案
- 歯の形や色調、バランスを事前に確認しながら、仕上がりイメージを共有しました
■ 治療内容
- 歯の表面をわずかに調整し、エナメル質を可能な限り残しました
- 審美修復に熟練した歯科技工士と連携し、自然な色・形のセラミックベニアを製作
最終的に、左右対称で自然な口元に整った前歯に仕上がりました。
- 治療期間
- 2回
- 費用
- ¥242,000