院長代表症例|銀座ONE歯科・矯正歯科|銀座一丁目、有楽町、銀座駅から徒歩圏内
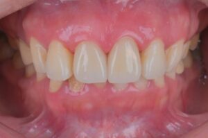
セラミック審美治療1
- 治療名
- ジルコニアクラウン他院修正
- 患者様
- 60代女性
- 執刀医
- Dr.黄
- 主訴
- 他院で行った前歯の被せ物が不適合で見た目にも違和感があり、色や形を自然で美しく整えたいとのご希望でご来院。
- 治療内容
- 既存の被せ物の不適合を改善するため、ジルコニアセラミッククラウンおよびラミネートベニアによる審美修復を行いました。
シェードガイドや口元写真をもとに、有名技工士と綿密に連携し、患者様の理想とする自然で美しい色調・形態を再現しています。
最小限の切削に留めつつ、仮歯の段階で細かな調整を重ね、周囲の歯や唇との調和がとれた仕上がりを実現しました。
- 治療期間
- 2ヶ月
- 費用
- ¥2,376,000
ラミネートベニア治療1
- 治療名
- 上顎前歯部ラミネートべニア治療
- 患者様
- 30代 男性
- 執刀医
- Dr.黄
- 主訴
- 「前歯の白いまだら模様が昔からコンプレックスで、写真を撮るときも自然に笑えない」と訴えて来院されました。
- 治療内容
-
カウンセリング・治療計画
高解像度の口元写真と口腔内スキャンデータをもとに、シミュレーションを実施
歯をほとんど削らずに済む、ラミネートベニアによる改善をご提案
審美性と歯質保存性を両立するため、以下の方針で治療を行いました:
• 対象歯:上顎中切歯・側切歯・犬歯の計6本
• ラミネートベニアによる審美修復
• 自然な色調と優れた耐久性を兼ね備えたレイヤリングジルコニア素材を選定
• 患者様の希望に応じ、周囲の歯との調和を重視したカスタムシェードで製作
- 治療期間
- 約3週間
- 費用
- ¥858,000
インプラント治療1
- 治療名
- 下顎残根抜歯即時埋入(インプラント1本)
- 患者様
- 20代女性
- 執刀医
- Dr.黄
- 主訴
- 数年前から下の奥歯が残根のまま放置されており、噛みにくさが続いていた。できるだけ早く噛める状態に戻したい。
- 治療内容
- 破折して保存が困難な下顎大臼歯の残根を抜歯し、同部位に対してサージカルガイドを使用した即時インプラント埋入を行いました。抜歯窩の骨欠損を補うために骨補填材を併用し、初期固定を確保したうえでヒーリングアバットメントを装着。治癒期間中の噛み合わせや清掃性にも配慮し、適切な軟組織形成を行っています。
- 治療期間
- 3ヶ月
- 費用
- ¥581,000
インプラント治療2
- 治療名
- 上顎前歯部インプラント治療
- 患者様
- 20代男性
- 執刀医
- Dr.黄
- 主訴
- 上の前歯を失ってしまい、見た目が気になる。入れ歯ではなく、自然な見た目としっかり噛める固定式の方法を希望。
- 治療内容
- 上顎前歯部の欠損に対して、審美性と機能性を重視したインプラント治療を行いました。歯ぐきの形や見た目を整えるため、必要に応じて骨造成や仮歯による軟組織の調整を行い、周囲の天然歯と調和するセラミックの上部構造を装着しました。口元の印象を大きく左右する部位のため、特に色調・形態の精密な設計と咬み合わせの調整を徹底しています。
- 治療期間
- 6ヶ月
- 費用
- ¥650,000
ラミネートベニア治療1
- 治療名
- 上顎前歯部ラミネートべニア治療
- 患者様
- 20代 女性
- 執刀医
- Dr.黄
- 主訴
- 昔から前歯の変色とすき間が気になっており、自然で美しい口元に改善したいとのご希望でした。
- 治療内容
-
カウンセリング・治療計画
高解像度の口元写真と口腔内スキャンデータをもとにシミュレーションを行い、歯をほとんど削らずに済む「ラミネートベニア」による改善をご提案しました。
審美性と歯質保存性の両立を重視し、以下の方針で治療を進めました。
- 治療期間
- 約3週間
- 費用
- ¥1,144,000
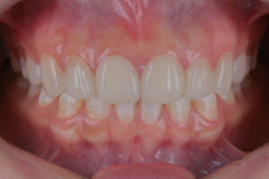
ラミネートベニア治療3
- 治療名
- ラミネートベニア
- 患者様
- 20代女性
- 執刀医
- Dr.黄
- 主訴
- 他院で装着した上顎前歯のラミネートベニアが脱離したため、修復希望で来院。
- 治療内容
- ■ カウンセリング・治療計画
- 高解像度の口元写真と口腔内スキャンデータをもとに、シミュレーションを実施
- 歯をほとんど削らずに済む、ラミネートベニアによる改善をご提案
- 歯の形や色調、バランスを事前に確認しながら、仕上がりイメージを共有しました
■ 治療内容
- 歯の表面をわずかに調整し、エナメル質を可能な限り残しました
- 審美修復に熟練した歯科技工士と連携し、自然な色・形のセラミックベニアを製作
最終的に、左右対称で自然な口元に整った前歯に仕上がりました。
- 治療期間
- 2回
- 費用
- ¥242,000
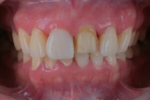
セラミック審美治療2
- 治療名
- ジルコニアセラミッククラウン・ラミネートベニア
- 患者様
- 30代男性
- 執刀医
- Dr.黄
- 主訴
- 他院で治療した前歯の見た目に違和感があり、色や形を自然に美しく整えたいとのご希望でご来院。
- 治療内容
- 既存の被せ物の不調和を修正するため、ジルコニアセラミッククラウンおよびラミネートベニアによる審美修復を行いました。シェードガイドや口元写真をもとに、有名技工士と密に連携し、色調・形態ともに患者様のご希望に沿った自然で美しい仕上がりを実現しました。最小限の切削と仮歯の段階での微調整を重ね、口元全体の調和を図っています。
- 治療期間
- 2回
- 費用
- ¥649,000
ダイレクトボンディング
- 治療名
- 前歯部ダイレクトボンディング
- 患者様
- 20代男性
- 執刀医
- Dr.黄
- 主訴
- 「前歯のすき間(正中離開)が気になる。なるべく短期間・低コストで自然に整えたい」というご希望で来院。
- 治療内容
- 初診時に写真とスキャンで状態を記録し、モニター上で仕上がりイメージを共有。
矯正やセラミックに比べて費用が抑えられることから、ダイレクトボンディングによるすき間修復を選択されました。
歯を削らず、前歯2本の隣接面にレジンを直接築盛。自然な色と形で、即日仕上げに成功しました。
- 治療のポイント
-
- 歯を削らずに、1回の来院で完了
- 見た目の違和感が少なく、ナチュラルな仕上がり
- セラミックに比べて費用が抑えられることも決め手に
- 矯正に抵抗がある方にもおすすめの選択肢
- 治療期間
- 1回
- 費用
- ¥110,000
精密根管治療
- 治療名
- 歯根嚢胞治療(精密根管治療)
- 患者様
- 30代男性
- 執刀医
- Dr.黄
- 主訴
- 上顎前歯部の腫脹を主訴に来院された患者様です。
前医にて抜歯を勧められたものの、痛みはあるものの「できる限り歯を残したい」というご本人の強いご希望があり、また、いきなり抜歯という判断に納得できなかったため、当院を受診されました。
- 治療内容
- 精密感染根管治療を行い、根管内の洗浄・消毒を繰り返した後、根管充填を実施しました。治療後、痛みや腫れは改善し、経過は良好でした。
1年後のレントゲン検査にて、根尖の透過像は消失し、骨の再生が確認されました。自覚症状もなく、良好な治癒が得られました。
- 治療期間
- 3回
- 費用
- ¥110,000